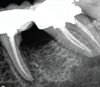
Salvaging a compromised tooth by an inter-disciplinary approach - A case report in 6 th national conference of Indian society of Prosthodontics- Restorative-Periodontics(ISPRP)
Salvaging a compromised tooth by an inter-disciplinary approach - A case report in 6 th national conference of Indian society of Prosthodontics- Restorative-Periodontics(ISPRP)