Dr Rahul's portfolio
Home
About me
Education
Experience
honors & awards
PRESENTATIONS
My skills
Published data
Gallery
Dr Rahul's portfolio
Home
About me
Education
Experience
honors & awards
PRESENTATIONS
My skills
Published data
Gallery
Home
PRESENTATIONS
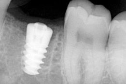
Lecture and Hands on Topic “Implant Procedure: Simplified” @ IDA - Singhbum , Jamshedpur
Lecture and Hands on Topic “Implant Procedure: Simplified” @ IDA - Singhbum , Jamshedpur
Prosthetic solutions for posterior saddle ridges - An evidence based approach - Top 100doc -USA
Contemplating the Implant position in smile zone in 10thWorld Congress of Oral Implantology and AAID Global Conference
Salvaging a compromised tooth by an inter-disciplinary approach - A case report in 6 th national conference of Indian society of Prosthodontics- Restorative-Periodontics(ISPRP)
doczone.sharma@gmail.com
I BUILT MY SITE FOR FREE USING
CREATE YOUR WEBSITE
Report Abuse